Ножки в сапожки ☻

В этом разделе каждый желающий может разместить свой рассказ об операции по исправлению "О-образной" кривизны ног. Здесь вы можете вести свой дневник, или разместить рассказ целиком. Приветствуется подробность изложения и размещение фото и видео материала.
Ответить
Аватара пользователя
Sekretar Onipko
Сообщения: 4551
Зарегистрирован: 16 авг 2011, 22:12

Ножки в сапожки ☻

Сообщение Sekretar Onipko »

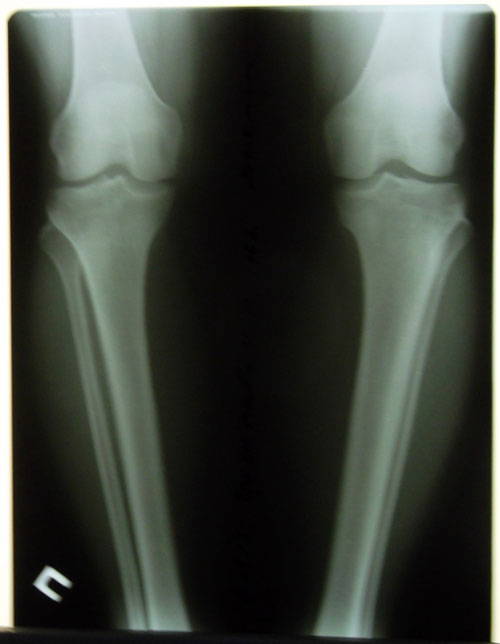
Дата операции 09.09.2015г.
Исходник.
53 года.
Вложения
image-10-09-15-10-28-1.jpg
image-10-09-15-10-28-3.jpg
SAM_0036.JPG
Аватара пользователя
Sekretar Onipko
Сообщения: 4551
Зарегистрирован: 16 авг 2011, 22:12

Re: Ножки в сапожки ☻

Сообщение Sekretar Onipko »

2- ой день круток.
Вложения
1442649277485_0.jpg
1442649233768_0.jpg
Аватара пользователя
Sekretar Onipko
Сообщения: 4551
Зарегистрирован: 16 авг 2011, 22:12

Re: Ножки в сапожки ☻

Сообщение Sekretar Onipko »

В процессе исправления деформации.
Вложения
SAM_0086.JPG
SAM_0088.JPG
Аватара пользователя
Sekretar Onipko
Сообщения: 4551
Зарегистрирован: 16 авг 2011, 22:12

Re: Ножки в сапожки ☻

Сообщение Sekretar Onipko »

Ножки на сегодня!
Вложения
SAM_0147.JPG
SAM_0149.JPG
Ответить