Iskorka ☻

В этом разделе каждый желающий может разместить свой рассказ об операции по исправлению "О-образной" кривизны ног. Здесь вы можете вести свой дневник, или разместить рассказ целиком. Приветствуется подробность изложения и размещение фото и видео материала.
Аватара пользователя
Sekretar Onipko
Сообщения: 4551
Зарегистрирован: 16 авг 2011, 22:12

Iskorka ☻

Сообщение Sekretar Onipko »

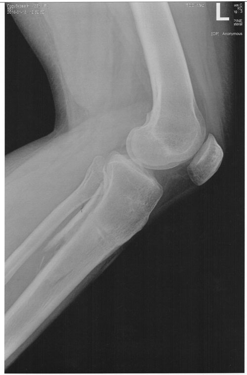
Дата операции 21.08.2015г.
33 года.
Исходник.
Вложения
РЕНТГЕН ДО ОПЕРАЦИИ
РЕНТГЕН ДО ОПЕРАЦИИ
SAM_0001.JPG
SAM_0003.JPG
Аватара пользователя
Sekretar Onipko
Сообщения: 4551
Зарегистрирован: 16 авг 2011, 22:12

Re: Iskorka ☻

Сообщение Sekretar Onipko »

В процессе круток.
Сейчас у пациентки отдых.
Вложения
20150902_200756.jpg
Аватара пользователя
Sekretar Onipko
Сообщения: 4551
Зарегистрирован: 16 авг 2011, 22:12

Re: Iskorka ☻

Сообщение Sekretar Onipko »

Ножки на сегодня.
Вложения
SAM_0041.JPG
SAM_0040.JPG
Аватара пользователя
Sekretar Onipko
Сообщения: 4551
Зарегистрирован: 16 авг 2011, 22:12

Re: Iskorka ☻

Сообщение Sekretar Onipko »

рентген в 20 дней после операции.
Вложения
1442649772752_0.jpg
1442649704200_0.jpg
Аватара пользователя
Sekretar Onipko
Сообщения: 4551
Зарегистрирован: 16 авг 2011, 22:12

Re: Iskorka ☻

Сообщение Sekretar Onipko »

Ножки на сегодня.
Вложения
IMG_4211.JPG
IMG_4213.JPG
IMG_4208.JPG
Аватара пользователя
Sekretar Onipko
Сообщения: 4551
Зарегистрирован: 16 авг 2011, 22:12

Re: Iskorka ☻

Сообщение Sekretar Onipko »

Ножки на сегодня.
Вложения
IMG_4225.JPG
IMG_4228.JPG
Аватара пользователя
Sekretar Onipko
Сообщения: 4551
Зарегистрирован: 16 авг 2011, 22:12

Re: Iskorka ☻

Сообщение Sekretar Onipko »

рентген в 60 дней.
Сращение идёт хорошо. Делаем рентген в 90 дней и готовимся к снятию.
Вложения
img004.jpg
Аватара пользователя
Sekretar Onipko
Сообщения: 4551
Зарегистрирован: 16 авг 2011, 22:12

Re: Iskorka ☻

Сообщение Sekretar Onipko »

Ножки на сегодня.
Вложения
IMG_4235.JPG
IMG_4236.JPG
Аватара пользователя
Sekretar Onipko
Сообщения: 4551
Зарегистрирован: 16 авг 2011, 22:12

Re: Iskorka ☻

Сообщение Sekretar Onipko »

рентген в 90 дней.
Здравствуйте, Iskorka! По рентгену, сращение отличное, ждём на снятие аппаратов.
Вложения
img010.jpg
img009.jpg
img008.jpg
Аватара пользователя
Sekretar Onipko
Сообщения: 4551
Зарегистрирован: 16 авг 2011, 22:12

Re: Iskorka ☻

Сообщение Sekretar Onipko »

ножки в 90 дней.
Вложения
IMG_4248.JPG
IMG_4249.JPG
Аватара пользователя
Sekretar Onipko
Сообщения: 4551
Зарегистрирован: 16 авг 2011, 22:12

Re: Iskorka ☻

Сообщение Sekretar Onipko »

ножки в аппаратах, в день снятия.
Вложения
РЕНТГЕН В ДЕНЬ СНЯТИЯ АППАРАТОВ.
РЕНТГЕН В ДЕНЬ СНЯТИЯ АППАРАТОВ.
РЕНТГЕН В ДЕНЬ СНЯТИЯ АППАРАТОВ.
РЕНТГЕН В ДЕНЬ СНЯТИЯ АППАРАТОВ.
image-27-11-15-02-33.jpg
Аватара пользователя
Sekretar Onipko
Сообщения: 4551
Зарегистрирован: 16 авг 2011, 22:12

Re: Iskorka ☻

Сообщение Sekretar Onipko »

Дата операции 21.08.2015г.
Дата снятия аппаратов 27.11.2015г.
Срок лечения 96 дней.

Изображение
Вложения
SAM_0001.JPG
SAM_0004.JPG
SAM_0003.JPG
Аватара пользователя
Sekretar Onipko
Сообщения: 4551
Зарегистрирован: 16 авг 2011, 22:12

Re: Iskorka ☻

Сообщение Sekretar Onipko »

Рентген в сравнении (ортопедическая ось) ДО - ПОСЛЕ операции.
Вложения
SAM_0012-(2).jpg
Аватара пользователя
Sekretar Onipko
Сообщения: 4551
Зарегистрирован: 16 авг 2011, 22:12

Re: Iskorka ☻

Сообщение Sekretar Onipko »

Здравствуйте уважаемый Николай Николаевич и Наталья!
Отправляю вам контрольные рентген-снимки и фото ножек. Со дня снятия прошло 50 дней.
У меня всё хорошо. Прошла курс массажа в декабре. Правда иногда немного болит колено с внутренней стороны на левой ноге.
Шрамы мажу контрактубексом.
Жду ваши комментарии.

Здравствуйте, Наталья! По рентгену, всё отлично! разрешено всё без ограничений! Исключить: беременность в течении первых 6 месяцев.
Спасибо за фото ножек! не забывайте про наш форум, пишите отзывы, выставляйте фото красивых ножек! Это для нас важно, мы гордимся своей работой!
Всего Вам доброго!
Вложения
img014.jpg
img013.jpg
img005.jpg
Ответить