Шанс!

В этом разделе каждый желающий может разместить свой рассказ об операции по исправлению "О-образной" кривизны ног. Здесь вы можете вести свой дневник, или разместить рассказ целиком. Приветствуется подробность изложения и размещение фото и видео материала.
шанс
Сообщения: 15
Зарегистрирован: 14 авг 2014, 00:13

Re: Шанс!

Сообщение шанс »

Loginza,читай внимательно дневники девочек, лучше рассматривай и изучай исходники и результаты в галерее.
В общем будь в теме,изучай другие форумы по этой тематике. Не наделай моих ошибок (я про медиал вообще не знала,а мне необходима была именно медиализация в разумных пределах) или если бы мне объяснил врач перед операцией,что существует несколько Методик, всего этого недовольства не было бы.
После такой операции,после того что мы пережили,нужен не просто хороший результат,а самый ЛУЧШИЙ!
Аватара пользователя
Sekretar Onipko
Сообщения: 4551
Зарегистрирован: 16 авг 2011, 22:12

Re: Шанс!

Сообщение Sekretar Onipko »

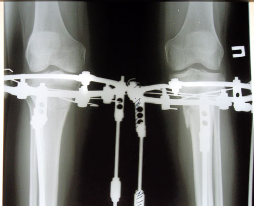
Рентген перед снятием аппаратов.
Вложения
SAM_9259.JPG
Аватара пользователя
Sekretar Onipko
Сообщения: 4551
Зарегистрирован: 16 авг 2011, 22:12

Re: Шанс!

Сообщение Sekretar Onipko »

Дата операции 16.06.2014г.
Дата снятия аппаратов 04.11.2014г.
Срок лечения 138 дней.

bf2a9c5.gif
Вложения
user35241_pic13922_1406363982.jpg
IMG_8271.JPG
Аватара пользователя
Sekretar Onipko
Сообщения: 4551
Зарегистрирован: 16 авг 2011, 22:12

Re: Шанс!

Сообщение Sekretar Onipko »

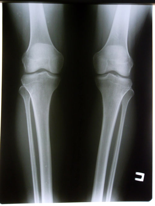
рентген в день снятия аппаратов.
Вложения
ортопедическая ось до операции
ортопедическая ось до операции
ортопедическая ось после исправления о - образной деформации
ортопедическая ось после исправления о - образной деформации
SAM_9312.JPG
Ответить