Дневник Andromeda
Re: Дневник Andromeda
Здравствуйте, Наталья. У меня возникла непредвиденная ситуация. 2 дня назад воспалилось самое медиальное спицевое отверстие верхнего кольца правой нооги. Пыталась снять воспаления всеми известными мне способами, но после 2-х бессонных ночей вынуждена была обратится к травматологу. Который сказал, что нужно удалять спицу в немедленном порядке. Что и сделал. Надеюсь что это не повлияет на результат.
- Sekretar Onipko
- Сообщения: 4551
- Зарегистрирован: 16 авг 2011, 22:12
Re: Дневник Andromeda
Здравствуйте! Правильно сделали!
- Sekretar Onipko
- Сообщения: 4551
- Зарегистрирован: 16 авг 2011, 22:12
- Sekretar Onipko
- Сообщения: 4551
- Зарегистрирован: 16 авг 2011, 22:12
Re: Дневник Andromeda
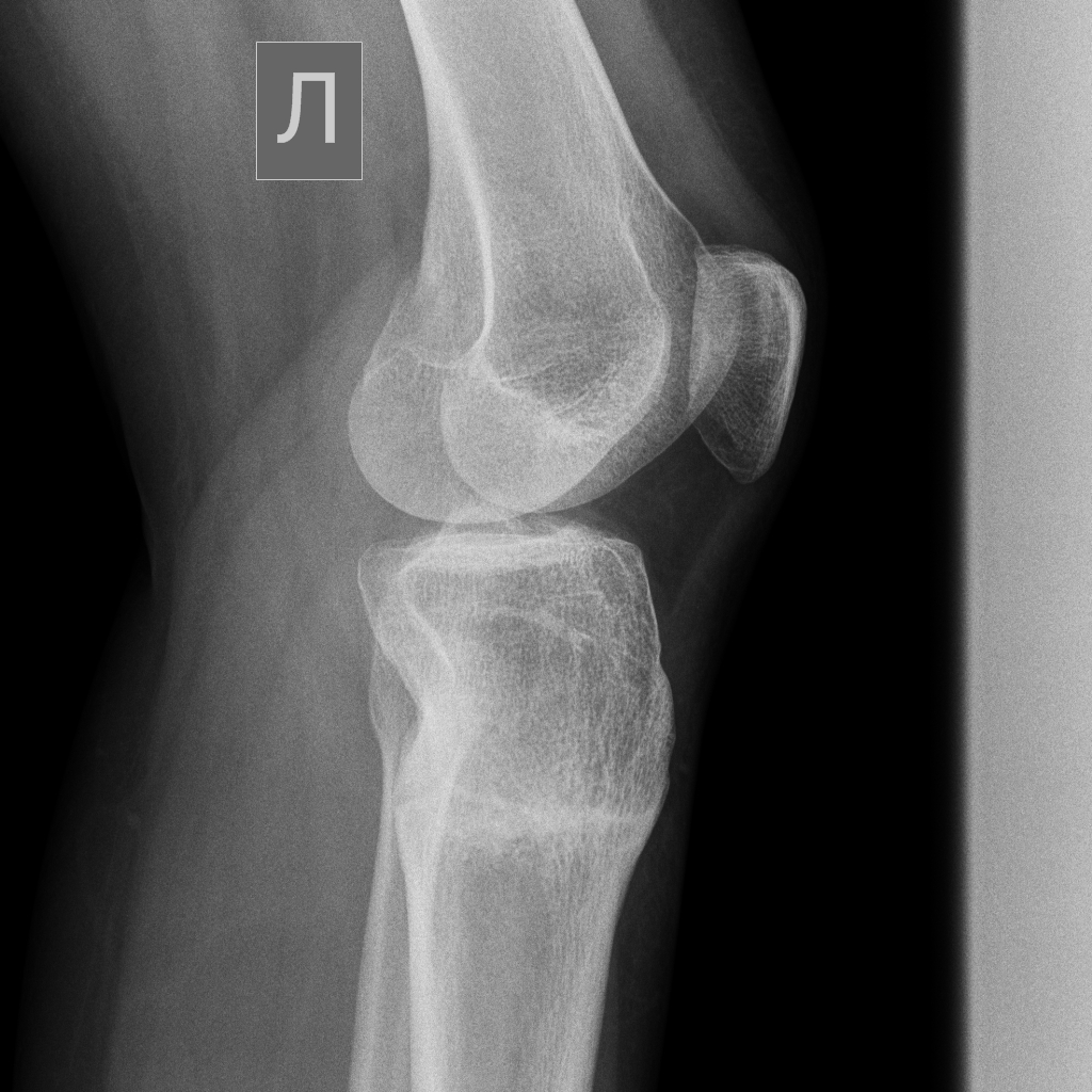
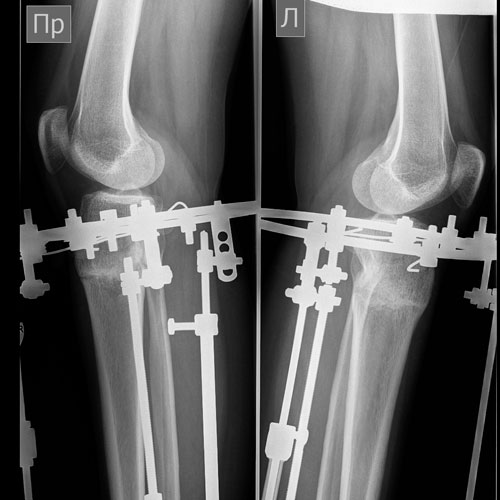
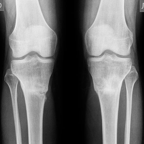
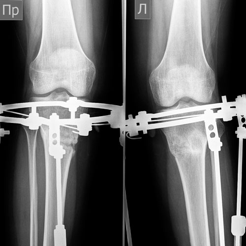
Дата операции 11.03.2014г.
Дата снятия аппаратов 10.06.2014г.
Срок лечения 3 месяца.

Дата снятия аппаратов 10.06.2014г.
Срок лечения 3 месяца.

- Sekretar Onipko
- Сообщения: 4551
- Зарегистрирован: 16 авг 2011, 22:12
Re: Дневник Andromeda
Дата операции 11.03.2014г.
Дата снятия аппаратов 10.06.2014г.
Срок лечения 3 месяца.

Дата снятия аппаратов 10.06.2014г.
Срок лечения 3 месяца.

Re: Дневник Andromeda
Привет,всем форумчанам!Вот и прошла неделя со снятия, и я хочу рассказать немного о своей постаппаратной жизни. Начну с того, что первые 5 дней я провела лежа, вставала только по физиологическим нуждам. Начала более или менее активно ходить на 6–ой день. Беспокоила боль в месте перелома и иногда левую ногу сводило судорогой. На 8–ой день начала физиотерапию, парафин и магнит. Кстати, заметила что после физио судороги не повторялись. На физио я иду бодрячком, а после выхожу буквально волоча ноги, такая слабость, и боль усиливается. Но меня успокоили, что в начале лечения всегда так, значит реакция пошла, будет лучше на 4–5 день. Дома хожу без опоры, но в фиксаторах. А большие расстояния покоряю с костылями. В следуюший понедельник на работу, наверное недельку похожу с костылями. Еще перимерила все свои брюки (подчеркиваю брюки, потому что у меня нет ни одной юбки) и пришла к заключению, что мне совершенно не идут широкие модели, некоторые из них не одену больше никогда! Жду не дождусь когда ножки окрепнут и ринусь обновлять гальдероб!
Re: Дневник Andromeda
Здравствуйте, дорогой Николай Николаевич и милая Наталья. Уже почти 2 месяца со снятия и мне даже не вериться, что у меня когда-то была операция, а тем более что у меня были кривые ноги. Чувствую себя отлично, ноги не беспокоят, только радуют. Походы по магазинам теперь праздник, а не сплошное расстройство как раньше. Николай Николаевич! Всей моей благодарности к Вам просто не выразить словами. За каждый день моей новой счастливой жизни буду благодарна Вам!!! Вы не просто хирург с золотыми руками, но и ЧЕЛОВЕК с золотым сердцем.
Девочки, кривоножки, которые только думают об операции, вы не представляете, что вы теряете каждую минуту промедления! Я жалею только об одном, что не сделала операцию раньше.
Девочки, кривоножки, которые только думают об операции, вы не представляете, что вы теряете каждую минуту промедления! Я жалею только об одном, что не сделала операцию раньше.
Re: Дневник Andromeda
Кстати, измерила на днях свой рост +2 см, приятный сюрприз!!!
- Sekretar Onipko
- Сообщения: 4551
- Зарегистрирован: 16 авг 2011, 22:12
- Sekretar Onipko
- Сообщения: 4551
- Зарегистрирован: 16 авг 2011, 22:12
Re: Дневник Andromeda
Почти 2 месяца с момента снятия аппаратов.
Андромеда, спасибо большое за приятные слова! Вам - здоровья, счастья, красоты! Носите ножки на здоровье и радуйте своей красотой родных и близких!
Андромеда, спасибо большое за приятные слова! Вам - здоровья, счастья, красоты! Носите ножки на здоровье и радуйте своей красотой родных и близких!

Re: Дневник Andromeda
Большое, большое, просто огромное спасибо!!!
Re: Дневник Andromeda
Привет! Я рада за тебя) просто супер!
Re: Дневник Andromeda
Андромеда выглядишь просто замечательно!! Поздравляю тебя от души !!! 

Re: Дневник Andromeda
Marta писал(а):Привет! Я рада за тебя) просто супер!
Марта привет!!! Как твои дела, как твои ножки ?