Наконец - то я решилась!
- Sekretar Onipko
- Сообщения: 4551
- Зарегистрирован: 16 авг 2011, 22:12
- Sekretar Onipko
- Сообщения: 4551
- Зарегистрирован: 16 авг 2011, 22:12
- Sekretar Onipko
- Сообщения: 4551
- Зарегистрирован: 16 авг 2011, 22:12
Re: Наконец - то я решилась!
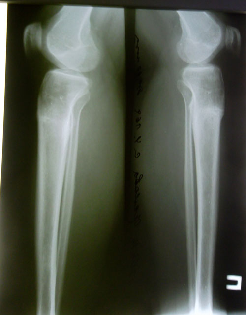
рентген в 76 дней.
Сращение отличное, предполагаемая дата снятия аппаратов - 06 января 2014г.
novyj_god_52
Сращение отличное, предполагаемая дата снятия аппаратов - 06 января 2014г.
novyj_god_52
- Sekretar Onipko
- Сообщения: 4551
- Зарегистрирован: 16 авг 2011, 22:12
Re: Наконец - то я решилась!
Дата операции 25.09.2013г.
Дата снятия аппаратов 07.01.2014г.
Срок лечения 101 день.
novyj_god_7
Дата снятия аппаратов 07.01.2014г.
Срок лечения 101 день.
novyj_god_7
- Sekretar Onipko
- Сообщения: 4551
- Зарегистрирован: 16 авг 2011, 22:12
Re: Наконец - то я решилась!
Дата операции 25.09.2013г.
Дата снятия аппаратов 07.01.2014г.
Срок лечения 101 день.
novyj_god_7
Дата снятия аппаратов 07.01.2014г.
Срок лечения 101 день.
novyj_god_7
- Simona
- Сообщения: 64
- Зарегистрирован: 02 июл 2013, 21:16
- Хирург: Н.Н. Онипко
- Диагноз: О-образная деформация ног
- Какую операцию Вы планируете сделать.: исправить ножки
- Дата операции.: 02.07.2013
- Откуда: Алматы
Re: Наконец - то я решилась!
Вот еще на одну ровноножку стало больше. Поздравляю. Будь счастлива. animashka95 

Re: Наконец - то я решилась!
Мирослава, поздравляю! Ножки просто лепота, загляденье!!! Держитесь мужчины))) Молодец, очень рада за прекрасный результат. 
- Miraslava
- Сообщения: 8
- Зарегистрирован: 25 сен 2013, 22:24
- Хирург: Н.Н. Онипко
- Диагноз: О-образная деформация ног
- Какую операцию Вы планируете сделать.: исправить ножки
- Дата операции.: 25.09.2013
- Откуда: Павлодар
Re: Наконец - то я решилась!
Спасибо, Алимуша! Тебе тоже осталось чуть-чуть и будут такие же.
- Miraslava
- Сообщения: 8
- Зарегистрирован: 25 сен 2013, 22:24
- Хирург: Н.Н. Онипко
- Диагноз: О-образная деформация ног
- Какую операцию Вы планируете сделать.: исправить ножки
- Дата операции.: 25.09.2013
- Откуда: Павлодар
Re: Наконец - то я решилась!
Симона, большое спасибо!Simona писал(а):Вот еще на одну ровноножку стало больше. Поздравляю. Будь счастлива. animashka95
- Sekretar Onipko
- Сообщения: 4551
- Зарегистрирован: 16 авг 2011, 22:12
Re: Наконец - то я решилась!
Мирослава, привет! Ни фига себе стройняжка, и обувь подобрала! Ножки просто супер! Так держать и с позитивом только вперед! И теперь можно у двери шефа задержаться, пусть слюной давиться !!! Класс!!!
- Miraslava
- Сообщения: 8
- Зарегистрирован: 25 сен 2013, 22:24
- Хирург: Н.Н. Онипко
- Диагноз: О-образная деформация ног
- Какую операцию Вы планируете сделать.: исправить ножки
- Дата операции.: 25.09.2013
- Откуда: Павлодар
Re: Наконец - то я решилась!
Cпасибо, дорогая! У тебя тоже хорошенькие, 
- Sekretar Onipko
- Сообщения: 4551
- Зарегистрирован: 16 авг 2011, 22:12
Re: Наконец - то я решилась!
Рентген в 2 месяца после снятия аппаратов.
Разрешено всё без ограничений!
Разрешено всё без ограничений!