Вперёд за мечтой!
Re: Вперёд за мечтой!
Ждем тебя Розочка на форуме! Поправляйся! 

- Rozochka
- Сообщения: 4
- Зарегистрирован: 17 сен 2013, 20:55
- Хирург: Н.Н. Онипко
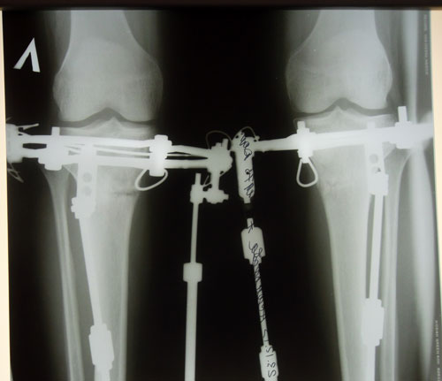
- Диагноз: О-образная деформация ног
- Какую операцию Вы планируете сделать.: исправить ножки
- Дата операции.: 17.09.2013
- Откуда: Алматы
Re: Вперёд за мечтой!
e35cd4a63.gifp
привет!
Розочка, привет! Как ты себя чувствуешь? Как все прошло? Напиши свои ощущения, нам, кто хочет также попасть в Ваши ряды - смельчиков!
- Sekretar Onipko
- Сообщения: 4551
- Зарегистрирован: 16 авг 2011, 22:12
- Sekretar Onipko
- Сообщения: 4551
- Зарегистрирован: 16 авг 2011, 22:12
- Rozochka
- Сообщения: 4
- Зарегистрирован: 17 сен 2013, 20:55
- Хирург: Н.Н. Онипко
- Диагноз: О-образная деформация ног
- Какую операцию Вы планируете сделать.: исправить ножки
- Дата операции.: 17.09.2013
- Откуда: Алматы
Re: Вперёд за мечтой!
Всем привет. Поздравляю с Курбан актом. 

- Sekretar Onipko
- Сообщения: 4551
- Зарегистрирован: 16 авг 2011, 22:12
- Sekretar Onipko
- Сообщения: 4551
- Зарегистрирован: 16 авг 2011, 22:12
- Rozochka
- Сообщения: 4
- Зарегистрирован: 17 сен 2013, 20:55
- Хирург: Н.Н. Онипко
- Диагноз: О-образная деформация ног
- Какую операцию Вы планируете сделать.: исправить ножки
- Дата операции.: 17.09.2013
- Откуда: Алматы
Re: Вперёд за мечтой!
Привет Всем! Пишу для всех кто думает или только собирается осуществить свою мечту. Миленькие кривоножки торопитесь стать счастливыми обладательницами красивых ножек.Николай Николаевич врач-волшебник даст билет в новую красивую жизнь.Он единственный мужчина,который один раз и навсегда откроет для Вас двери в светлое будущее.Придаст самоуверенности,подчеркнет красоту и индивидуальность.Приблизится на один шаг к мечте поможет внимательная Наталья и мед.персонал клиники.Ласковая Марина до минимума сведет остатки страха и нежно поможет пережить после ОП. Пусть Ваши мечты сбываются! ВПЕРЕД ЗА МЕЧТОЙ!!! 

Re: Вперёд за мечтой!
Розочка, привет!!!!!!!! Ножки супер, ооочень красивые 

Re: Вперёд за мечтой!
поздравляю ножки получаются загляденье, стала замечать что ноги которые "делал" Н.Н. намного привлекательнее чем у тех кто имел от природы ровные ноги
- Fialka
- Сообщения: 70
- Зарегистрирован: 29 авг 2013, 21:30
- Хирург: Н.Н. Онипко
- Диагноз: О-образная деформация ног
- Какую операцию Вы планируете сделать.: исправить ножки
- Дата операции.: 29.08.2013
- Откуда: Алматы
Re: Вперёд за мечтой!
Привет Розочка! Наконец вы вышли на связь
Очень рада за вас, что всё хорошо! Ножки классные получаються! И снятие не за горами, было бы хорошо до ногово года)) хотья идея оформить аппараты мишурами и встречать новый год как вы говорите, тоже не плохо)) Удачи вам дорогая и всего хорошего! 

- Sekretar Onipko
- Сообщения: 4551
- Зарегистрирован: 16 авг 2011, 22:12