Пациентка Майя.(1978г.р.)
г. Усть - Каменногорск
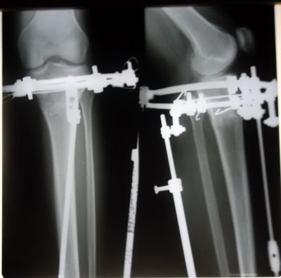
Дата операции 15.05.2013г.
Майский заезд
- Sekretar Onipko
- Сообщения: 4551
- Зарегистрирован: 16 авг 2011, 22:12
- Sekretar Onipko
- Сообщения: 4551
- Зарегистрирован: 16 авг 2011, 22:12
- Sekretar Onipko
- Сообщения: 4551
- Зарегистрирован: 16 авг 2011, 22:12
Re: Майский заезд
Дата операции 15.05.2013г.
Дата снятия аппаратов 20.08.2013г.
Срок лечения 94 дня.
Дата снятия аппаратов 20.08.2013г.
Срок лечения 94 дня.
- Sekretar Onipko
- Сообщения: 4551
- Зарегистрирован: 16 авг 2011, 22:12