Самая обаятельная и привлекательная!

В этом разделе каждый желающий может разместить свой рассказ об операции по исправлению "О-образной" кривизны ног. Здесь вы можете вести свой дневник, или разместить рассказ целиком. Приветствуется подробность изложения и размещение фото и видео материала.
Аватара пользователя
Мисисс
Сообщения: 372
Зарегистрирован: 15 сен 2011, 15:10
Хирург: Онипко Н.Н.
Диагноз: О-образная деформация ног
Какую операцию Вы планируете сделать.: по исправлению кривизны ног
Дата операции.: 05.04.2012
Откуда: г. Астана

Re: Самая обаятельная и привлекательная!

Сообщение Мисисс »

Приветики. от шрамов я использовала контратубекс. Мазями после сниятия для ног не пользовалась ни какими. Только прогулки с детьми, занятия в центре. Говорят еще помагает голубая глина от шрамов, но у меня нет на нее времени. Мазать ее, потом смывать. А контратубекс намазала и забыла об этом. у меня все посветлели почти. Кроме двух. От одной удаленной спицы и прорезавшейся кожу спицой. Они еще видны. Незаметные окружающим. Только я их вижу Когда мажу кремом контратубекс. a160bd3a1.gif
Аватара пользователя
Yagodka
Сообщения: 129
Зарегистрирован: 13 мар 2013, 21:01
Хирург: Онипко Н.Н.
Диагноз: о-образная деформация нижних конечностей
Дата операции.: 12.03.2013
Откуда: Казахстан

Re: Самая обаятельная и привлекательная!

Сообщение Yagodka »

Мисисс писал(а):Приветики. от шрамов я использовала контратубекс. Мазями после сниятия для ног не пользовалась ни какими. Только прогулки с детьми, занятия в центре. Говорят еще помагает голубая глина от шрамов, но у меня нет на нее времени. Мазать ее, потом смывать. А контратубекс намазала и забыла об этом. у меня все посветлели почти. Кроме двух. От одной удаленной спицы и прорезавшейся кожу спицой. Они еще видны. Незаметные окружающим. Только я их вижу Когда мажу кремом контратубекс. a160bd3a1.gif
спасибо тебе ,Миссис,за советы -ты супер!!!!!!!!!!!!!!!!
23100000
Аватара пользователя
Yagodka
Сообщения: 129
Зарегистрирован: 13 мар 2013, 21:01
Хирург: Онипко Н.Н.
Диагноз: о-образная деформация нижних конечностей
Дата операции.: 12.03.2013
Откуда: Казахстан

Re: Самая обаятельная и привлекательная!

Сообщение Yagodka »

Sekretar Onipko писал(а):Здравствуйте, Ягодка! Вы не переживайте, необходимо сделать компрессию (сжатие), для этого:
смотрите на фото!
1) трогаем только средний стержень, я его отметила на фото (для понятия о чём речь)
2) откручиваем внутреннюю гайку на этом стержне снизу (без разницы на сколько)
3) и начинаем работать с нижней гайкой: делаем пометку на ребре гайки ярким лаком для ногтей и пометку на ребре кольца так, чтобы они соприкасались в одном месте!
4) закручиваем нижнюю гайку на 360 градусов по ходу часовой стрелки
(полный оборот так, чтобы пометки соприкоснулись - это чтобы не сбиться) и таких полных 5 оборотов = 5 мм.
Высылаю рисунки для понятия, если что то непонятно сразу напишите.
Удачи Вам!
Доброй ночи ! Наталья !
сейчас супруг сделал мне компрессию -всего-то покрутить две гайки-для него
для меня - настроиться и решиться на такое !!!!
на месте перелома -ноющая боль -так должно быть ?????
мы сделали все -как Вы писали -строго по инструкции (5 оборотов по 360 градусов по часовой стрелки -нижняя гайка на среднем стержне )
жду ответа
help
Аватара пользователя
Sekretar Onipko
Сообщения: 4551
Зарегистрирован: 16 авг 2011, 22:12

Re: Самая обаятельная и привлекательная!

Сообщение Sekretar Onipko »

Здравствуйте, Ягодка! Всё в порядке, не переживайте. Всё пройдёт!
Аватара пользователя
Yagodka
Сообщения: 129
Зарегистрирован: 13 мар 2013, 21:01
Хирург: Онипко Н.Н.
Диагноз: о-образная деформация нижних конечностей
Дата операции.: 12.03.2013
Откуда: Казахстан

Re: Самая обаятельная и привлекательная!

Сообщение Yagodka »

Наталья ! спасибо, за поддержку bf2a9c5.gif

Вы написали- и боль вроде утихла -слегка ноет -ну ладно -потерпим !!!!!
теперь - я спокойна
Аватара пользователя
Skarlet
Сообщения: 110
Зарегистрирован: 06 мар 2013, 19:12
Хирург: Онипко Н.Н.
Диагноз: О- образная деформация ног
Дата операции.: 06.03.2013
Откуда: Казахстан

Re: Самая обаятельная и привлекательная!

Сообщение Skarlet »

Ну вот, я тут... это... того... в общем... ты поняла.
Позвоню.
Буду скучать в дороге... bf2a9c5.gif
Аватара пользователя
Yagodka
Сообщения: 129
Зарегистрирован: 13 мар 2013, 21:01
Хирург: Онипко Н.Н.
Диагноз: о-образная деформация нижних конечностей
Дата операции.: 12.03.2013
Откуда: Казахстан

Re: Самая обаятельная и привлекательная!

Сообщение Yagodka »

94 день
привет !
боль после компрессии утихла
скарлет поехала сдаваться
осталась я одна !!!
считаю дни до снятия
надо позвонить снежинке zvonday
zali
Сообщения: 66
Зарегистрирован: 21 фев 2013, 23:21

Re: Самая обаятельная и привлекательная!

Сообщение zali »

Ягодка привет! Потерпи не много, осталось совсем чуть-чуть, ведь самое главное результат. Ради ровных, красивых,крепких ног можно потерпеть не правда ли? Скоро будешь щеголять в красивых одеждах, а следующим летом будешь ходить в белых шортах и в малиновой кофточке как ты мечтала))). Короткое не одеваю,ношу все самое узкое)), джинсы, штаны всякие узкие с маичками, обувь на низкой подошве, конечно хочется одеть каблуки, но нельзя. Родственники мужа реагируют на мое преображение молча, не знаю, то ли они все поняли, то ли еще ничего не поняли)))). Но мне все ровно, главное у меня ровные ноги! Ягодка, когда ты выезжаешь, наверное уже определили дату снятия твоих оков? Давай, не унывай, ты же у нас оптимистка))) 094f316296.gif
Аватара пользователя
Sekretar Onipko
Сообщения: 4551
Зарегистрирован: 16 авг 2011, 22:12

Re: Самая обаятельная и привлекательная!

Сообщение Sekretar Onipko »

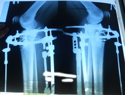
Рентген перед снятием аппаратов от 23 июня.
Вложения
2.JPG
1.JPG
Аватара пользователя
Yagodka
Сообщения: 129
Зарегистрирован: 13 мар 2013, 21:01
Хирург: Онипко Н.Н.
Диагноз: о-образная деформация нижних конечностей
Дата операции.: 12.03.2013
Откуда: Казахстан

Re: Самая обаятельная и привлекательная!

Сообщение Yagodka »

привет
сегодня 102 день
поехала сдаваться в волшебные руки НН
сказали буду ходить в лангетках
салма и красотка -жду вас в гости chay secret drink drink1
Аватара пользователя
Skarlet
Сообщения: 110
Зарегистрирован: 06 мар 2013, 19:12
Хирург: Онипко Н.Н.
Диагноз: О- образная деформация ног
Дата операции.: 06.03.2013
Откуда: Казахстан

Re: Самая обаятельная и привлекательная!

Сообщение Skarlet »

Родная моя!!!
Ты в надежных руках, даже не беспокойся.
Если Николай Николаевич, сказал, значит так оно и есть.
Буду ждать тебя здесь, дома.
Если не уеду в деревню, то подъеду к вокзалу, там увидимся.
Легкого тебе снятия и красивых ног!!! 094f316296.gif
Аватара пользователя
Yagodka
Сообщения: 129
Зарегистрирован: 13 мар 2013, 21:01
Хирург: Онипко Н.Н.
Диагноз: о-образная деформация нижних конечностей
Дата операции.: 12.03.2013
Откуда: Казахстан

Re: Самая обаятельная и привлекательная!

Сообщение Yagodka »

привет всем !
приехала в клинику 25 июня ночью
26 июня -104 дня после операции-мне распустили аппараты
на распущенных аппаратах я ходила целый день
спать было неудобно
сегодня должны снять аппараты-волнуюсь очень!!!!!!!!!!!!!!!!
вчера видела НН-такой легкий .быстрый.весь в делах
как всегда энергичный и позитивный !!!!!!!!!!!!
познакомилась в клинике с июньским призывом (сбором.заездом и т.д )
все девочки как на подбор -молодые.энергичные.красивые и веселые !!!!!!!!!!!!!!
и я думаю -они долго ходить не будут в аппаратах -молодость -большой козырь !
ах если бы я знала раньше об этой клинике !!!!!!!!
Аватара пользователя
Sekretar Onipko
Сообщения: 4551
Зарегистрирован: 16 авг 2011, 22:12

Re: Самая обаятельная и привлекательная!

Сообщение Sekretar Onipko »

Заезд в июне 2013г.
Коллективное поздравление Ягодки со снятием аппаратов! bf2a9c5.gif
Вложения
SAM_5958.JPG
Аватара пользователя
Sneginka
Сообщения: 120
Зарегистрирован: 14 мар 2013, 21:37
Хирург: Онипко Н.Н.
Диагноз: о-образная деформация ног
Дата операции.: 14.03.2013
Откуда: Казахстан

Re: Самая обаятельная и привлекательная!

Сообщение Sneginka »

Ягодка ну неужели тебе сняли!!! ПОЗДРАВЛЯЮ!!! УРА!!!УРА!!!!!УРА!!!!
У тебя ягодка, теперь, учитывая остальные прелести твоей фигуры - роковая внешность красотки, поэтому я желаю тебе ШИКА ВО ВСЕМ: в любви иии во всем во всем остальном!!!!

Изображение
Ответить