Золушка

В этом разделе каждый желающий может разместить свой рассказ об операции по исправлению "О-образной" кривизны ног. Здесь вы можете вести свой дневник, или разместить рассказ целиком. Приветствуется подробность изложения и размещение фото и видео материала.
Ответить
Аватара пользователя
Sekretar Onipko
Сообщения: 4551
Зарегистрирован: 16 авг 2011, 22:12

Золушка

Сообщение Sekretar Onipko »

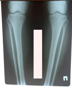
Исходник - 23 года.
Дата операции - 03.02.2021
Вложения
image-18-02-21-05-32-1.jpg
image-03-02-21-12-27.jpg
Ответить