Анталия

В этом разделе каждый желающий может разместить свой рассказ об операции по исправлению "О-образной" кривизны ног. Здесь вы можете вести свой дневник, или разместить рассказ целиком. Приветствуется подробность изложения и размещение фото и видео материала.
Ответить
Аватара пользователя
Sekretar Onipko
Сообщения: 4551
Зарегистрирован: 16 авг 2011, 22:12

Анталия

Сообщение Sekretar Onipko »

Исходник - 35 лет.
Дата операции - 15.01.2021
Вложения
image-18-01-21-09-59-4.jpg
image-18-01-21-09-59-1.jpg
Аватара пользователя
Sekretar Onipko
Сообщения: 4551
Зарегистрирован: 16 авг 2011, 22:12

Re: Анталия

Сообщение Sekretar Onipko »

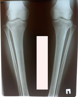
перед крутками
Вложения
image-22-01-21-05-19-2.jpg
Аватара пользователя
Sekretar Onipko
Сообщения: 4551
Зарегистрирован: 16 авг 2011, 22:12

Re: Анталия

Сообщение Sekretar Onipko »

на фиксации
Вложения
image-13-02-21-11-05-3.jpg
image-13-02-21-11-05-1.jpg
image-13-02-21-11-05.jpg
Ответить