Best

В этом разделе каждый желающий может разместить свой рассказ об операции по исправлению "О-образной" кривизны ног. Здесь вы можете вести свой дневник, или разместить рассказ целиком. Приветствуется подробность изложения и размещение фото и видео материала.
Ответить
Аватара пользователя
Sekretar Onipko
Сообщения: 4551
Зарегистрирован: 16 авг 2011, 22:12

Best

Сообщение Sekretar Onipko »

Исходник - 52 года.
Дата операции - 20.11.2020
Вложения
image-19-11-20-08-54-4.gif
image-19-11-20-08-54-2.gif
image-19-11-20-08-54.gif
Аватара пользователя
Sekretar Onipko
Сообщения: 4551
Зарегистрирован: 16 авг 2011, 22:12

Re: Best

Сообщение Sekretar Onipko »

перед крутками
Вложения
image-27-11-20-07-35-3.jpg
Аватара пользователя
Sekretar Onipko
Сообщения: 4551
Зарегистрирован: 16 авг 2011, 22:12

Re: Best

Сообщение Sekretar Onipko »

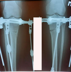
на фиксации
Вложения
image-16-12-20-12-03-1.jpg
image-16-12-20-12-03.jpg
Аватара пользователя
Sekretar Onipko
Сообщения: 4551
Зарегистрирован: 16 авг 2011, 22:12

Re: Best

Сообщение Sekretar Onipko »

на фиксации
Вложения
image-19-11-20-08-54-2.jpg
image-19-11-20-08-54-4.jpg
Ответить