Хризантема

В этом разделе каждый желающий может разместить свой рассказ об операции по исправлению "О-образной" кривизны ног. Здесь вы можете вести свой дневник, или разместить рассказ целиком. Приветствуется подробность изложения и размещение фото и видео материала.
Ответить
Аватара пользователя
Sekretar Onipko
Сообщения: 4551
Зарегистрирован: 16 авг 2011, 22:12

Хризантема

Сообщение Sekretar Onipko »

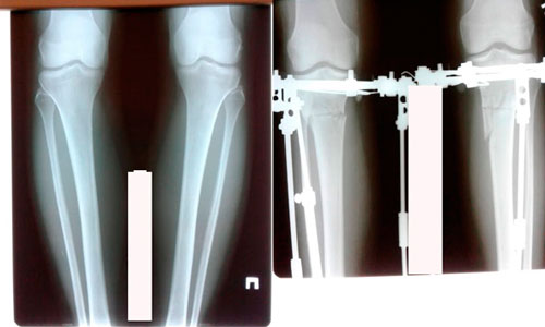
Исходник - 42 года.
Дата операции - 04.06.2020
Вложения
image-04-06-20-04-35-1.jpg
image-04-06-20-04-35-8.jpg
Аватара пользователя
Sekretar Onipko
Сообщения: 4551
Зарегистрирован: 16 авг 2011, 22:12

Re: Хризантема

Сообщение Sekretar Onipko »

до круток
Вложения
image-15-06-20-10-27-2.jpg
Аватара пользователя
Sekretar Onipko
Сообщения: 4551
Зарегистрирован: 16 авг 2011, 22:12

Re: Хризантема

Сообщение Sekretar Onipko »

в процессе работы
Вложения
image-26-06-20-10-31-14.jpg
Аватара пользователя
Sekretar Onipko
Сообщения: 4551
Зарегистрирован: 16 авг 2011, 22:12

Re: Хризантема

Сообщение Sekretar Onipko »

в процессе работы
Вложения
image-02-07-20-02-13-2.jpg
Аватара пользователя
Sekretar Onipko
Сообщения: 4551
Зарегистрирован: 16 авг 2011, 22:12

Re: Хризантема

Сообщение Sekretar Onipko »

последние штрихи
Вложения
image-06-07-20-05-46-2.jpg
Аватара пользователя
Sekretar Onipko
Сообщения: 4551
Зарегистрирован: 16 авг 2011, 22:12

Re: Хризантема

Сообщение Sekretar Onipko »

на финише
Вложения
image-13-07-20-09-14-7.jpg
Аватара пользователя
Sekretar Onipko
Сообщения: 4551
Зарегистрирован: 16 авг 2011, 22:12

Re: Хризантема

Сообщение Sekretar Onipko »

На фиксации
Вложения
image-17-07-20-04-27-1.jpg
image-04-06-20-04-35-8.jpg
Аватара пользователя
Sekretar Onipko
Сообщения: 4551
Зарегистрирован: 16 авг 2011, 22:12

Re: Хризантема

Сообщение Sekretar Onipko »

На фиксации
Вложения
image-04-06-20-04-35-2.jpg
image-04-06-20-04-35-1.jpg
Аватара пользователя
Sekretar Onipko
Сообщения: 4551
Зарегистрирован: 16 авг 2011, 22:12

Re: Хризантема

Сообщение Sekretar Onipko »

Перед снятием аппаратов
Вложения
image-13-10-20-06-09-7.jpg
image-13-10-20-06-09-6.jpg
image-13-10-20-06-09-5.jpg
Аватара пользователя
Sekretar Onipko
Сообщения: 4551
Зарегистрирован: 16 авг 2011, 22:12

Re: Хризантема

Сообщение Sekretar Onipko »

Дата операции - 04.06.2020
Дата снятия аппаратов 13.10.2020
Вложения
image-04-06-20-04-35-4.jpg
image-04-06-20-04-35-2.jpg
Ответить