Рубин

В этом разделе каждый желающий может разместить свой рассказ об операции по исправлению "О-образной" кривизны ног. Здесь вы можете вести свой дневник, или разместить рассказ целиком. Приветствуется подробность изложения и размещение фото и видео материала.
Ответить
Аватара пользователя
Sekretar Onipko
Сообщения: 4551
Зарегистрирован: 16 авг 2011, 22:12

Рубин

Сообщение Sekretar Onipko »

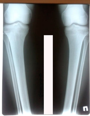
Исходник - 27 лет.
Дата операции - 07.08.2020
Вложения
image-07-08-20-10-23-1.jpg
image-07-08-20-10-23-5.jpg
Аватара пользователя
Sekretar Onipko
Сообщения: 4551
Зарегистрирован: 16 авг 2011, 22:12

Re: Рубин

Сообщение Sekretar Onipko »

перед крутками
Вложения
image-13-08-20-10-06-1.jpg
Аватара пользователя
Sekretar Onipko
Сообщения: 4551
Зарегистрирован: 16 авг 2011, 22:12

Re: Рубин

Сообщение Sekretar Onipko »

на фиксации
Вложения
image-28-08-20-01-09-4.jpg
image-28-08-20-01-09-3.jpg
Аватара пользователя
Sekretar Onipko
Сообщения: 4551
Зарегистрирован: 16 авг 2011, 22:12

Re: Рубин

Сообщение Sekretar Onipko »

на фиксации
Вложения
image-07-08-20-10-23-1.jpg
image-07-08-20-10-23-3.jpg
ualihan81
Сообщения: 15
Зарегистрирован: 01 сен 2020, 10:02
Контактная информация:

Re: Рубин

Сообщение ualihan81 »

Привет. Можно с тобой пообщаться по телефону. 87718392703 мой ватсап
Аватара пользователя
Sekretar Onipko
Сообщения: 4551
Зарегистрирован: 16 авг 2011, 22:12

Re: Рубин

Сообщение Sekretar Onipko »

Дата операции - 07.08.2020
Дата снятия аппаратов - 10.12.2020
Вложения
image-07-08-20-10-23-1.jpg
image-07-08-20-10-23-3.jpg
Ответить