Формия

В этом разделе каждый желающий может разместить свой рассказ об операции по исправлению "О-образной" кривизны ног. Здесь вы можете вести свой дневник, или разместить рассказ целиком. Приветствуется подробность изложения и размещение фото и видео материала.
Ответить
Аватара пользователя
Sekretar Onipko
Сообщения: 4551
Зарегистрирован: 16 авг 2011, 22:12

Формия

Сообщение Sekretar Onipko »

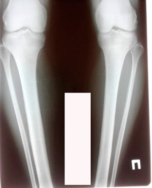
Исходник 38 лет.
Дата операции - 16.03.2020
Вложения
image-17-03-20-05-45-3.jpg
image-17-03-20-05-45-6.jpg
Аватара пользователя
Sekretar Onipko
Сообщения: 4551
Зарегистрирован: 16 авг 2011, 22:12

Re: Формия

Сообщение Sekretar Onipko »

Дата операции - 16.03.2020
Дата снятия аппаратов - 30.06.2020
Вложения
image-01-07-20-04-11-1.jpg
image-01-07-20-04-11.jpg
Аватара пользователя
Sekretar Onipko
Сообщения: 4551
Зарегистрирован: 16 авг 2011, 22:12

Re: Формия

Сообщение Sekretar Onipko »

Дата операции - 16.03.2020
Дата снятия аппаратов - 30.06.2020
Вложения
image-17-03-20-05-45-4-(2).jpg
image-17-03-20-05-45-1-(2).jpg
Ответить