Новый год!

В этом разделе каждый желающий может разместить свой рассказ об операции по исправлению "О-образной" кривизны ног. Здесь вы можете вести свой дневник, или разместить рассказ целиком. Приветствуется подробность изложения и размещение фото и видео материала.
Ответить
Аватара пользователя
Sekretar Onipko
Сообщения: 4551
Зарегистрирован: 16 авг 2011, 22:12

Новый год!

Сообщение Sekretar Onipko »

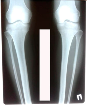
Пациентка - 23 года. Бишкек.
Дата операции - 29.01.2020
Варусная деформация голеней
Ротация справа.
Вложения
IMG_8532-29-01-20-10-27.JPG
IMG_8538-29-01-20-10-27.JPG
Аватара пользователя
Sekretar Onipko
Сообщения: 4551
Зарегистрирован: 16 авг 2011, 22:12

Re: Новый год!

Сообщение Sekretar Onipko »

перед крутками
Вложения
IMG_8656-04-02-20-08-01.JPG
Аватара пользователя
Sekretar Onipko
Сообщения: 4551
Зарегистрирован: 16 авг 2011, 22:12

Re: Новый год!

Сообщение Sekretar Onipko »

на фиксации
Вложения
IMG_8532-29-01-20-10-27.JPG
IMG_8536-29-01-20-10-27.JPG
IMG_8986-21-02-20-08-02.JPG
Аватара пользователя
Sekretar Onipko
Сообщения: 4551
Зарегистрирован: 16 авг 2011, 22:12

Re: Новый год!

Сообщение Sekretar Onipko »

Дата операции - 29.01.2020
Дата снятия аппаратов - 19.05.2020
Вложения
IMG_8531-29-01-20-10-27.JPG
Ответить