Каркадэ
- Sekretar Onipko
- Сообщения: 4551
- Зарегистрирован: 16 авг 2011, 22:12
Каркадэ
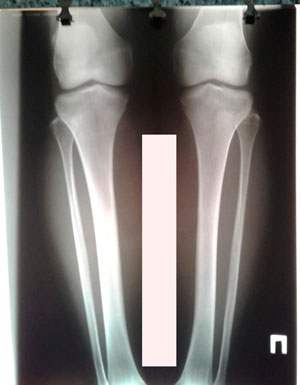
Исходник -43 года.
Дата операции - 18.07.2019г.
Диагноз: нетипичная варусная деформация голеней, на границе нижней и средней/3
Исправление по методике доктора Онипко Н.Н.
Дата операции - 18.07.2019г.
Диагноз: нетипичная варусная деформация голеней, на границе нижней и средней/3
Исправление по методике доктора Онипко Н.Н.
- Sekretar Onipko
- Сообщения: 4551
- Зарегистрирован: 16 авг 2011, 22:12
- Sekretar Onipko
- Сообщения: 4551
- Зарегистрирован: 16 авг 2011, 22:12
- Sekretar Onipko
- Сообщения: 4551
- Зарегистрирован: 16 авг 2011, 22:12
- Sekretar Onipko
- Сообщения: 4551
- Зарегистрирован: 16 авг 2011, 22:12
- Sekretar Onipko
- Сообщения: 4551
- Зарегистрирован: 16 авг 2011, 22:12
- Sekretar Onipko
- Сообщения: 4551
- Зарегистрирован: 16 авг 2011, 22:12
-
loginza766
- Сообщения: 3
- Зарегистрирован: 18 сен 2019, 13:28
- Контактная информация:
Re: Каркадэ
Здравствуйте. Скажите, в бирюзовых шортиках это ножки "до"??
- Sekretar Onipko
- Сообщения: 4551
- Зарегистрирован: 16 авг 2011, 22:12
Re: Каркадэ
Здравствуйте! Да.
- Sekretar Onipko
- Сообщения: 4551
- Зарегистрирован: 16 авг 2011, 22:12
- Sekretar Onipko
- Сообщения: 4551
- Зарегистрирован: 16 авг 2011, 22:12
