Ровные ножжки!

В этом разделе каждый желающий может разместить свой рассказ об операции по исправлению "О-образной" кривизны ног. Здесь вы можете вести свой дневник, или разместить рассказ целиком. Приветствуется подробность изложения и размещение фото и видео материала.
Ответить
Аватара пользователя
Sekretar Onipko
Сообщения: 4551
Зарегистрирован: 16 авг 2011, 22:12

Ровные ножжки!

Сообщение Sekretar Onipko »

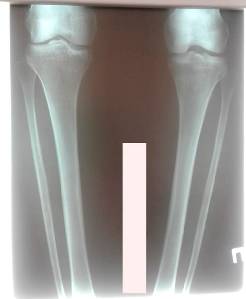
Исходник - 49 лет. Киргизия.
Дата операции - 12.04.2019г.
Вложения
IMG_2514-17-04-19-11-20.JPG
IMG_2510-17-04-19-11-20.JPG
Аватара пользователя
Sekretar Onipko
Сообщения: 4551
Зарегистрирован: 16 авг 2011, 22:12

Re: Ровные ножжки!

Сообщение Sekretar Onipko »

перед крутками
Вложения
IMG_2558-18-04-19-05-35.JPG
Аватара пользователя
Sekretar Onipko
Сообщения: 4551
Зарегистрирован: 16 авг 2011, 22:12

Re: Ровные ножжки!

Сообщение Sekretar Onipko »

В процессе круток
Вложения
IMG_2839-30-04-19-04-44.JPG
Аватара пользователя
Sekretar Onipko
Сообщения: 4551
Зарегистрирован: 16 авг 2011, 22:12

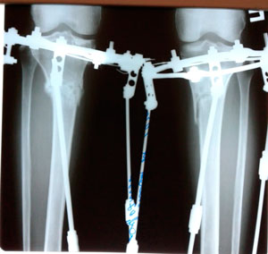
Re: Ровные ножжки!

Сообщение Sekretar Onipko »

Рентген перед фиксацией
Вложения
IMG_2991-06-05-19-05-30.JPG
IMG_2992-06-05-19-05-30.JPG
Аватара пользователя
Sekretar Onipko
Сообщения: 4551
Зарегистрирован: 16 авг 2011, 22:12

Re: Ровные ножжки!

Сообщение Sekretar Onipko »

Ножки на фиксации
И моя лбимая рубрика: "В сравнении".
Вложения
IMG_2514-17-04-19-11-20.JPG
IMG_2511-17-04-19-11-20.JPG
IMG_2961-03-05-19-09-46.JPG
Аватара пользователя
Sekretar Onipko
Сообщения: 4551
Зарегистрирован: 16 авг 2011, 22:12

Re: Ровные ножжки!

Сообщение Sekretar Onipko »

Дата операции - 12.04.2019г
Дата снятия аппаратов - 25.07.2019.
Срок сращения- 103 дня.

094f316296.gif
Вложения
IMG_2514-17-04-19-11-20.JPG
IMG_2511-17-04-19-11-20.JPG
Аватара пользователя
Sekretar Onipko
Сообщения: 4551
Зарегистрирован: 16 авг 2011, 22:12

Re: Ровные ножжки!

Сообщение Sekretar Onipko »

Рентген перед снятием аппаратов.
Вложения
IMG_4541-27-07-19-12-49.JPG
IMG_4540-27-07-19-12-49.JPG
Аватара пользователя
valdemar
Администратор
Сообщения: 115
Зарегистрирован: 08 авг 2011, 16:09
Хирург: я сам хирург
Диагноз: администратор
Какую операцию Вы планируете сделать.: подлечить форум
Срок лечения.: бесконечен
Оценка результата операции.: судите сами
Откуда: Казахстан г. Павлодар

Re: Ровные ножжки!

Сообщение valdemar »

3 месяца с момента снятия аппаратов
Вложения
IMG_2514-17-04-19-11-20.JPG
00.JPG
Ответить