Исходник - 39 лет. Астана.
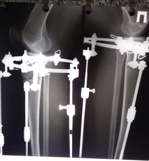
Дата операции 17.10.2017г.
Малибу
- Sekretar Onipko
- Сообщения: 4551
- Зарегистрирован: 16 авг 2011, 22:12
- Sekretar Onipko
- Сообщения: 4551
- Зарегистрирован: 16 авг 2011, 22:12
- Sekretar Onipko
- Сообщения: 4551
- Зарегистрирован: 16 авг 2011, 22:12
- Sekretar Onipko
- Сообщения: 4551
- Зарегистрирован: 16 авг 2011, 22:12
- Sekretar Onipko
- Сообщения: 4551
- Зарегистрирован: 16 авг 2011, 22:12
Re: Малибу
Дата операции 17.10.2017г.
Дата снятия аппаратов 25.01.2018г.
Срок лечения 98 дней.
Дата снятия аппаратов 25.01.2018г.
Срок лечения 98 дней.