ЭЛИС

В этом разделе каждый желающий может разместить свой рассказ об операции по исправлению "О-образной" кривизны ног. Здесь вы можете вести свой дневник, или разместить рассказ целиком. Приветствуется подробность изложения и размещение фото и видео материала.
Ответить
Аватара пользователя
Sekretar Onipko
Сообщения: 4551
Зарегистрирован: 16 авг 2011, 22:12

ЭЛИС

Сообщение Sekretar Onipko »

Исходник - 18 лет.
Дата операции 31.05.2016г.
Вложения
1464587309957_6.jpg
1464587309957_5.jpg
Аватара пользователя
Sekretar Onipko
Сообщения: 4551
Зарегистрирован: 16 авг 2011, 22:12

Re: ЭЛИС

Сообщение Sekretar Onipko »

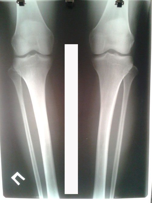
Рентген до операции.
Вложения
20160709_130321.jpg
Аватара пользователя
Sekretar Onipko
Сообщения: 4551
Зарегистрирован: 16 авг 2011, 22:12

Re: ЭЛИС

Сообщение Sekretar Onipko »

На фиксации.
Вложения
image-09-07-16-01-27.jpg
Аватара пользователя
Sekretar Onipko
Сообщения: 4551
Зарегистрирован: 16 авг 2011, 22:12

Re: ЭЛИС

Сообщение Sekretar Onipko »

рентген в день снятия аппаратов.
Вложения
20160829_092947.jpg
20160829_093004.jpg
Аватара пользователя
Sekretar Onipko
Сообщения: 4551
Зарегистрирован: 16 авг 2011, 22:12

Re: ЭЛИС

Сообщение Sekretar Onipko »

Дата операции 31.05.2016г.
Дата снятия аппаратов 25.08.2016г.
Срок лечения 84 дня.

094f316296.gif
Вложения
1464587309957_5.jpg
1464587309957_1.jpg
Аватара пользователя
Sekretar Onipko
Сообщения: 4551
Зарегистрирован: 16 авг 2011, 22:12

Re: ЭЛИС

Сообщение Sekretar Onipko »

Дата операции 31.05.2016г.
Дата снятия аппаратов 25.08.2016г.
Срок лечения 84 дня.

33000000
Вложения
1464587309957_6.jpg
1464587309957_2.jpg
Ответить