Хочу пополнить ряды счастливых девочек!
- Sekretar Onipko
- Сообщения: 4551
- Зарегистрирован: 16 авг 2011, 22:12
Re: Хочу пополнить ряды счастливых девочек!
В процессе исправления деформации ног, штрихи!
Василёк, что скажите? Как профессионал!
Василёк, что скажите? Как профессионал!
- Vasilek
- Сообщения: 246
- Зарегистрирован: 10 янв 2013, 12:26
- Хирург: Онипко Н.Н.
- Дата операции.: 09.01.2013
- Дата снятия аппаратов.: 10.04.2013
- Срок лечения.: 91 день
- Оценка результата операции.: отлично
Re: Хочу пополнить ряды счастливых девочек!
Ой, спасибо за такое доверие... 
Я бы наверное капельку левую ножку подправила. Правая ножка вообще супер!
Я бы наверное капельку левую ножку подправила. Правая ножка вообще супер!
- Sekretar Onipko
- Сообщения: 4551
- Зарегистрирован: 16 авг 2011, 22:12
Re: Хочу пополнить ряды счастливых девочек!
23 дня с момента операции.
- Sekretar Onipko
- Сообщения: 4551
- Зарегистрирован: 16 авг 2011, 22:12
Re: Хочу пополнить ряды счастливых девочек!
Девочки, вы просто молодцы, что поддерживаете друг-друга! Хорошо когда есть постороний взгляд, взгляд человека который пережил это на себе. Вам повезло с сестрой, она правильно подметила где нужно подправить, сейчас намного лучше, одинаково и ровно! Удачи вам всем! От Фиалки 
- Sekretar Onipko
- Сообщения: 4551
- Зарегистрирован: 16 авг 2011, 22:12
- Sekretar Onipko
- Сообщения: 4551
- Зарегистрирован: 16 авг 2011, 22:12
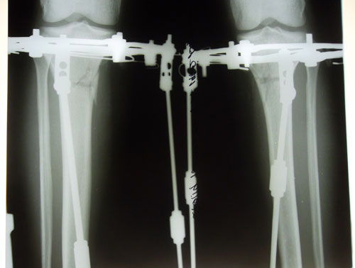
Re: Хочу пополнить ряды счастливых девочек!
Рентген в 2 месяца.
Сращение отличное, снимать можно в первых числах апреля, но Н.Н. будет отсутствовать с 1 - 14 апреля. По этому, рекомендую приехать на снятие аппаратов 15 апреля (так будет лучше).
Сращение отличное, снимать можно в первых числах апреля, но Н.Н. будет отсутствовать с 1 - 14 апреля. По этому, рекомендую приехать на снятие аппаратов 15 апреля (так будет лучше).
- Sekretar Onipko
- Сообщения: 4551
- Зарегистрирован: 16 авг 2011, 22:12
Re: Хочу пополнить ряды счастливых девочек!
Рентген в 2 месяца.
Сращение отличное, снимать можно в первых числах апреля, но Н.Н. будет отсутствовать с 1 - 14 апреля. По этому, рекомендую приехать на снятие аппаратов 15 апреля (так будет лучше).
Сращение отличное, снимать можно в первых числах апреля, но Н.Н. будет отсутствовать с 1 - 14 апреля. По этому, рекомендую приехать на снятие аппаратов 15 апреля (так будет лучше).
Re: Хочу пополнить ряды счастливых девочек!
ох смотрю я на твои ноги Ромашка и вижу до боли знакомые иксики своих ног с нетерпением жду когда ты будешь снимать аппараты чтобы увидеть результат
- Sekretar Onipko
- Сообщения: 4551
- Зарегистрирован: 16 авг 2011, 22:12
Re: Хочу пополнить ряды счастливых девочек!
Дата операции 08.01.2014г.
Дата снятия аппаратов 15.04.2014г.
Срок лечения 98 дней.

Дата снятия аппаратов 15.04.2014г.
Срок лечения 98 дней.

- Sekretar Onipko
- Сообщения: 4551
- Зарегистрирован: 16 авг 2011, 22:12
Re: Хочу пополнить ряды счастливых девочек!
Дата операции 08.01.2014г.
Дата снятия аппаратов 15.04.2014г.
Срок лечения 98 дней.

Дата снятия аппаратов 15.04.2014г.
Срок лечения 98 дней.

Re: Хочу пополнить ряды счастливых девочек!
А что за пятна на ногах? Отчего они появились ? На исходнике ноги чистыеSekretar Onipko писал(а):Дата операции 08.01.2014г.
Дата снятия аппаратов 15.04.2014г.
Срок лечения 98 дней.
- Koshechka
- Сообщения: 12
- Зарегистрирован: 29 янв 2014, 19:35
- Хирург: Н.Н. Онипко
- Диагноз: О - образная деформация ног
- Какую операцию Вы планируете сделать.: исправить кривые ноги
- Дата операции.: 29.01.2014
- Откуда: Атырау
Re: Хочу пополнить ряды счастливых девочек!
Sekretar Onipko писал(а):Дата операции 08.01.2014г.
Дата снятия аппаратов 15.04.2014г.
Срок лечения 98 дней.
Ромашка, поздравляю тебя от всей души!
Ножки -просто загляденье!!!