Женщина достойна красоты!!!

В этом разделе каждый желающий может разместить свой рассказ об операции по исправлению "О-образной" кривизны ног. Здесь вы можете вести свой дневник, или разместить рассказ целиком. Приветствуется подробность изложения и размещение фото и видео материала.
Аватара пользователя
Yagodka
Сообщения: 129
Зарегистрирован: 13 мар 2013, 21:01
Хирург: Онипко Н.Н.
Диагноз: о-образная деформация нижних конечностей
Дата операции.: 12.03.2013
Откуда: Казахстан

Re: Женщина достойна красоты!!!

Сообщение Yagodka »

Женщина достойная красоты !!!!!!!!!
ауууууу!!!! ты где ??????
Аватара пользователя
Skarlet
Сообщения: 110
Зарегистрирован: 06 мар 2013, 19:12
Хирург: Онипко Н.Н.
Диагноз: О- образная деформация ног
Дата операции.: 06.03.2013
Откуда: Казахстан

Re: Женщина достойна красоты!!!

Сообщение Skarlet »

ghhhjhh
Аватара пользователя
Skarlet
Сообщения: 110
Зарегистрирован: 06 мар 2013, 19:12
Хирург: Онипко Н.Н.
Диагноз: О- образная деформация ног
Дата операции.: 06.03.2013
Откуда: Казахстан

Re: Женщина достойна красоты!!!

Сообщение Skarlet »

Привет всем!
Отсутствовала долго. То мама болела, то дети занимали мое время.
Теперь об истории моих ног.
Хожу без опоры, спицы верхние крайние режутся, краснеют, воспаляются.
Диклофенак в моем случае эффективнее, чем левомиколь.
Два месяца болела правая нога, теперь болит левая, за то, функции правой ноги почти полностью восстановились: закидываю ее на левую, приседание на ней делаю.
Поднимаюсь по ступенькам лучше, чем спускаюсь
Когда щупаю места переломов, то слева неровность более выражена, а справа еле заметная. При надавливании ощущаю болезненность, то ли мягких тканей, то ли костных мозолей.
6-июня будет 3 месяца после оп.
В начале июня отправлю рентген-снимки. Билеты мы с Ягодкой купили на 15-июня. Прибудем 16-го в воскресенье ночью.
Не знаю каковы будут результаты, но чувствую, что близка к апофеозу.
Снежинка, Зали, поехали вместе, веселее будет.
Аватара пользователя
Skarlet
Сообщения: 110
Зарегистрирован: 06 мар 2013, 19:12
Хирург: Онипко Н.Н.
Диагноз: О- образная деформация ног
Дата операции.: 06.03.2013
Откуда: Казахстан

Re: Женщина достойна красоты!!!

Сообщение Skarlet »

У меня с утра радостное возбужденное настроение.
Связано это с Зали. Ее вызывают для снятия.
И это передалось мне и Ягодке.
Скорее бы, ох скорее бы.
Что же так все замедлилось-то.
То же хочу такого регенерата, как у нее.
Надоели спицы.
Надоела походка а ля "пингвин".
Тут уже муж вечно прикалывается при виде меня, называет меня "жирным пингвином" (это он о моей худобе и походке).
"Глупый пингвин робко прячет тело жирное в утесах..." , вот с этими строками из стихов Максима Горького "Песня о Буревестнике" муж начинает обращение ко мне.
Даже дети из киндер-сюрприза вытащили игрушечного пингвина и поставили его на кухне на подоконник.
Каждый день я по несколько раз с 4-этажа спускаюсь и поднимаюсь. Уже на любопытные вопросы соседей "как же так ты поломала ноги?", я спокойно отвечаю "парашют не раскрылся".
В общем не заморачиваюсь на мелочах.
Препараты кальция перестала принимать в последнее время, месяц как мучаюсь от запоров из-за них. Творог и холодец то же надоели.
Ем то, что нравится. Живу как хочу.
В общем злостная нарушительница я. Думаю, что осталось совсем ничего, можно и не напрягаться. gitara
А как кожа на ногах шелушится, белье каждое утро встряхиваю. Перед сном даже любимое занятие-сидеть и отдирать пласты отшелушившейся кожи.
Как снимут оковы, так сразу пойду в сауну. В клинике на 1-этаже есть великолепная сауна с бассейном. Интересно, можно будет в тот же день в сауну? А потом попросить Светлану Васильевну перевязать как положено перед дорогой. Мы с Ягодкой уже запланировали сауну. Когда жили после операции на 1-этаже, тогда мы уже ее облюбовали. Там было зеркало, и мы ходили туда на ноги посмотреть.
Аватара пользователя
Sekretar Onipko
Сообщения: 4551
Зарегистрирован: 16 авг 2011, 22:12

Re: Женщина достойна красоты!!!

Сообщение Sekretar Onipko »

Здравствуйте, девчонки! Конечно можно в сауну или русскую баню с веничком! По приезду - организуем для Вас! 6c533fdf.gif
Аватара пользователя
Skarlet
Сообщения: 110
Зарегистрирован: 06 мар 2013, 19:12
Хирург: Онипко Н.Н.
Диагноз: О- образная деформация ног
Дата операции.: 06.03.2013
Откуда: Казахстан

Re: Женщина достойна красоты!!!

Сообщение Skarlet »

Спасибо, Наташа! Я не сомневалась в вашей отзывчивости и душевности.
С веничком да погорячее!
Ох я девчонок отхлестать хочу по красивеньким ноженькам, особенно Ягодку.

Сегодня 88-день после оп.
На 85-день сделала рентген-снимки и отправила в клинику. Жду с нетерпением.
Для сравнительного анализа пересмотрела все имеющиеся R-снимки в форуме. Но у некоторых их вообще нет, т.е. не выставлены. Тем не менее я поизучала большеберцовую косточку по снимкам. И поскольку у Николая Николаевича свои технические особенности, то теперь даже в другом уголке земли если покажут мне незнакомые R-снимки, я обязательно узнаю его почерк и стиль.
Общее мое состояние замечательное.
Хожу свободно, все функции восстановились. Левая нога немного отстает при вытягивании ног вперед, но я ее разрабатываю, приседаю, держу на весу.
Несколько дней уже, готовлю квартиру к ремонту, обдираю старые обои, залезаю и слезаю с табуретки, две комнаты уже подготовила. Хочу, чтобы после моего отъезда в клинику сразу начали ремонт. Лето ведь быстро пролетит. А мне надо успеть подготовиться к новой жизни. gitara solnce
Ах да, вспомнила, меня смущает понятие как "воспитание костной мозоли": после удаления вертикальных штырей с аппарата, остаются только кольца и как я поняла, с ними надо ходить от 7 до 10 дней. Если так, то те, которые на один день приезжают, как уходят от "воспитания"?
Я ведь то же только на пару дней приеду.
Перейду плавно к спицам: нижние спокойны, а вот кожа вокруг крайних, особенно, возле внутренних спиц застойно-красно-синюшная. Ну а как еще? Столько времени бороться с железными оккупантами.
Аватара пользователя
Skarlet
Сообщения: 110
Зарегистрирован: 06 мар 2013, 19:12
Хирург: Онипко Н.Н.
Диагноз: О- образная деформация ног
Дата операции.: 06.03.2013
Откуда: Казахстан

Re: Женщина достойна красоты!!!

Сообщение Skarlet »

89-день!
Завтра будет ровно 3 месяца!
Все просто замечательно!
Конечно, тьфу-тьфу!
Левая нога восстанавливается, вернее ее функции, не могла ее на весу держать как правую ногу. Левая нога еще в клинике отекала, вернее стопа. Заметила,что отек у меня не зависит от количества выпитой жидкости и интенсивности ходьбы. Уверена, что нарушенный лимфоотток наладится после удаления спиц, вернее после снятия аппарата.
Упражнения даются уже легче: приседания делаю касаясь плотно кольца, дальше уже будет присест на корточки, но этого делать нельзя, начнется давление на спицы-кольца вниз вдавятся и не дай боже, все полетит в тартарары. На носочки поднимаюсь 500 раз по несколько подходов, без груза (гантелей) икроножные мышцы не накачаются, но хотя бы придут в тонус. Когда мышцы разогреваются, могу уже растяжки делать-достаю ладонями поверхности пола, а другие растяжки пока физически и технически невозможны.
Жду с нетерпением, что скажет Николай Николаевич насчет рентгена, пригласит, не пригласит, любит, не любит. bf2a9c5.gif
Аватара пользователя
Sekretar Onipko
Сообщения: 4551
Зарегистрирован: 16 авг 2011, 22:12

Re: Женщина достойна красоты!!!

Сообщение Sekretar Onipko »

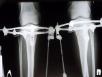
90 дней с момента операции.
Рентгеновские снимки.
Сращение отличное, Ваша подвижность и подготовка к ремонту, пошла Вам на пользу! :lol:
Вложения
SAM_5589.JPG
SAM_5592.JPG
zali
Сообщения: 66
Зарегистрирован: 21 фев 2013, 23:21

Re: Женщина достойна красоты!!!

Сообщение zali »

Прости меня моя сестра,не сочти за кидалу, но не могу я больше ждать. Еду. Я думаю что ты и Ягодка меня поймете и простите. Мы обязательно встретимся и " обмоем" наши ножки. Дни стали медленнее лететь, и спицы крайние больше беспокоить стали, вообщем пора, пора на снятие. Целую и люблю! пожелай мне удачи.
zali
Сообщения: 66
Зарегистрирован: 21 фев 2013, 23:21

Re: Женщина достойна красоты!!!

Сообщение zali »

кстати, отличное сращение, рада за тебя, следующий этап это груди))), кто знает, может мы опять окажемся с тобой соседками по палате))) 0c03cbd.gif
Аватара пользователя
Yagodka
Сообщения: 129
Зарегистрирован: 13 мар 2013, 21:01
Хирург: Онипко Н.Н.
Диагноз: о-образная деформация нижних конечностей
Дата операции.: 12.03.2013
Откуда: Казахстан

Re: Женщина достойна красоты!!!

Сообщение Yagodka »

привет ,моя боевая подруга !
в самый последний момент -я тебя бросаю
сдаваться ты едешь одна !!!!!!!!1
мне еще рановато
я так рада что в моей жизни ты появилась, и была мне надеждой и опорой в тяжелые для нас времена !!!!! isterichka moderator lee boxing angry
ну ничего ,теперь будем дружить семьями -впереди столько всего интересного !!!!!!!!!!!
жизнь без комплекса !!!!!!! свободная жизнь !!!!!!! tancysmancy gitara pusistiki result drink1 drink
удачи !!!!!!! очень тебя ЛЮБЛЮ !!!!!
всем привет от меня 23100000
Аватара пользователя
Skarlet
Сообщения: 110
Зарегистрирован: 06 мар 2013, 19:12
Хирург: Онипко Н.Н.
Диагноз: О- образная деформация ног
Дата операции.: 06.03.2013
Откуда: Казахстан

Re: Женщина достойна красоты!!!

Сообщение Skarlet »

Уважаемый Николай Николаевич!!!
От всей души поздравляю Вас с днем рождения!!!
Желаю крепкого здоровья, счастья, успехов в труде!!!
Желаю счастливых и благодарных пациентов побольше!!!
Желаю расширения вашей клиники в виде филиалов во всех городах Казахстана!!!
Спасибо, что ВЫ есть!!!
[/size][/color][/b] 2ae0794.gif e35cd4a63.gif 0c03cbd.gif 44000000
Аватара пользователя
Skarlet
Сообщения: 110
Зарегистрирован: 06 мар 2013, 19:12
Хирург: Онипко Н.Н.
Диагноз: О- образная деформация ног
Дата операции.: 06.03.2013
Откуда: Казахстан

Re: Женщина достойна красоты!!!

Сообщение Skarlet »

Я очень рада, что сращение у меня отличное. Все хорошо, но...
Моя милая Ягодка со мной не едет. engelbezkrilev
Вместе было бы веселее.
Ягодке после снятия можно было бы с гипсовыми лангетками походить. Тем более "запас" в виде легкого иксика у нее есть.
Про сжатие костных мозолей впервые слышу, просмотрела другие дневники, никто о нем не пишет.
Будем знать. Век живи, век учись.

Теперь по поводу ног: хожу хорошо, немного, правда, раскачиваюсь все еще.
Нигде не болит.
Спицы спокойны.
Отеки иногда бывают.
Сплю на любом боку.
Аватара пользователя
Yagodka
Сообщения: 129
Зарегистрирован: 13 мар 2013, 21:01
Хирург: Онипко Н.Н.
Диагноз: о-образная деформация нижних конечностей
Дата операции.: 12.03.2013
Откуда: Казахстан

Re: Женщина достойна красоты!!!

Сообщение Yagodka »

привет ,Скарлет -моя красавица !!!!!!!!!!! 23100000
чемодан собрала??????????
всем привет от меня передай !!!!!!!!!
удачи!!!!!!!!!!
bravo result
Ответить