За мечтой!

В этом разделе каждый желающий может разместить свой рассказ об операции по исправлению "О-образной" кривизны ног. Здесь вы можете вести свой дневник, или разместить рассказ целиком. Приветствуется подробность изложения и размещение фото и видео материала.
Аватара пользователя
Sekretar Onipko
Сообщения: 4551
Зарегистрирован: 16 авг 2011, 22:12

Re: За мечтой!

Сообщение Sekretar Onipko »

50 дней с момента снятия аппаратов.
Вложения
NIk1QYVSVAA.jpg
XSs0evW7eB4.jpg
Аватара пользователя
Sekretar Onipko
Сообщения: 4551
Зарегистрирован: 16 авг 2011, 22:12

Re: За мечтой!

Сообщение Sekretar Onipko »

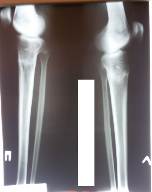
Рентген контроль в 2 месяца с момента снятия аппаратов.
Здравствуйте, А.! По рентгену всё отлично! Ограничений в нагрузках нет, каблуки разрешены. Для разработки суставов - массаж, гимнастика, очень хорошо помогает боди балет. Хорошие результаты после его занятий, наши пациентки оценили.

Боди-балет – это уникальная разновидность танцевальной тренировки, сочетающая упрощенную технику классического балета с элементами пилатеса, йоги, каланетики. Как и любая другая танцевальная тренировка, боди-балет направлен, в первую очередь, на развитие гибкости (позвоночник, суставы, сухожилия), растяжку, эластичности мышц.
Вложения
20141114_164848.jpg
20141114_164759.jpg
Ответить