. Алиса, он забывает про кальции, по моему после вашего отьезда он спрятал их подальше) Сереж пей кальции, много не купайся и выходи на улицу в чехлах! Дневник от Sergunya
- Fialka
- Сообщения: 70
- Зарегистрирован: 29 авг 2013, 21:30
- Хирург: Н.Н. Онипко
- Диагноз: О-образная деформация ног
- Какую операцию Вы планируете сделать.: исправить ножки
- Дата операции.: 29.08.2013
- Откуда: Алматы
Re: Дневник от Sergunya
Алиса а Сережа же обещал поменяться ножками, так что поздравляйте меня
Кстати я тоже рада что ты все таки разрезал носочки) Но зная твою чистоплотность, ты их каждый день будешь стирать, поэтому не жалей, разреж еще пару) Наверное до сих пор ищещ свой ножик всей клиникой
Не переживай если че я отправлю тебе новую
. Алиса, он забывает про кальции, по моему после вашего отьезда он спрятал их подальше) Сереж пей кальции, много не купайся и выходи на улицу в чехлах! 
. Алиса, он забывает про кальции, по моему после вашего отьезда он спрятал их подальше) Сереж пей кальции, много не купайся и выходи на улицу в чехлах! Re: Дневник от Sergunya
вот недавно выходил цветы фотографировал мне понравилось погулял свежим воздухом подышал!- Alisa
- Сообщения: 95
- Зарегистрирован: 23 авг 2013, 00:16
- Хирург: Н.Н. Онипко
- Диагноз: О-образная деформация ног
- Какую операцию Вы планируете сделать.: исправить ножки
- Дата операции.: 21.08.2013
Re: Дневник от Sergunya
Сережка, только увидела твое творчество. В первый день когда выставили-не открывалось у меня. Сегодня вспомнила и решила посмотреть. Красота!!!!!!!!!!!
И цветочки в октябре красивые-вроде холодно, а они живые.
МОЛОДЧИНА!
И цветочки в октябре красивые-вроде холодно, а они живые.
МОЛОДЧИНА!
- Sekretar Onipko
- Сообщения: 4551
- Зарегистрирован: 16 авг 2011, 22:12
- Sekretar Onipko
- Сообщения: 4551
- Зарегистрирован: 16 авг 2011, 22:12
Re: Дневник от Sergunya
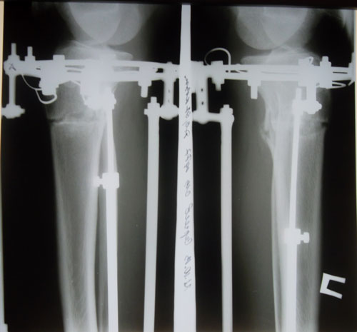
Дата операции 20.08.2013г.
Дата снятия аппаратов 07.11.2013г.
Срок лечения 77 дней.

Дата снятия аппаратов 07.11.2013г.
Срок лечения 77 дней.

- Sekretar Onipko
- Сообщения: 4551
- Зарегистрирован: 16 авг 2011, 22:12
Re: Дневник от Sergunya
Дата операции 20.08.2013г.
Дата снятия аппаратов 07.11.2013г.
Срок лечения 77 дней.

Дата снятия аппаратов 07.11.2013г.
Срок лечения 77 дней.

- Alisa
- Сообщения: 95
- Зарегистрирован: 23 авг 2013, 00:16
- Хирург: Н.Н. Онипко
- Диагноз: О-образная деформация ног
- Какую операцию Вы планируете сделать.: исправить ножки
- Дата операции.: 21.08.2013
Re: Дневник от Sergunya
Сережка, поздравляю с красивыми палочками!
Помнишь как Фиалка хотела, чтоб ее ноги были похожими на твои-на две ровные палочки.
К твоему росту теперь добавились ровные ноги---ты парень на расхват----ой, девки держитесь!
Не теряйся.

Помнишь как Фиалка хотела, чтоб ее ноги были похожими на твои-на две ровные палочки.
К твоему росту теперь добавились ровные ноги---ты парень на расхват----ой, девки держитесь!
Не теряйся.

- Fialka
- Сообщения: 70
- Зарегистрирован: 29 авг 2013, 21:30
- Хирург: Н.Н. Онипко
- Диагноз: О-образная деформация ног
- Какую операцию Вы планируете сделать.: исправить ножки
- Дата операции.: 29.08.2013
- Откуда: Алматы
Re: Дневник от Sergunya
Сергуня, мальчик ты наш единцвенный и всеми любимый , поздравляю тебя с отпадными ножками! Теперь ты будешь носить джинсики-сигаретки которые мне так нравяться и в фудбол теперь с тобой можно поиграть))
Пусть все у тебя будет супер-пупер и пусть тебе встретиться девушка, которая будет ценить и сделает счастливым!
Пусть все у тебя будет супер-пупер и пусть тебе встретиться девушка, которая будет ценить и сделает счастливым!
Re: Дневник от Sergunya
Сережка, поздравляю с ровными ножками, бегай теперь по дорожке!)) Прекрасный результат у замечательного парня. Ты герой, позитивный очень! Я рада, что познакомилась с тобой. Ты как настоящий дрюг...шучу друг поддержал меня после оп, после наркоза, слушал мои бредни с глазами в кучу
и терпеливо ждал когда я приду в нормальное состояние. Пусть результат ног радует тебя всю жизнь и Желаю тебе встретить девушку достойную. Пока, пиши, не забывай 
- Simona
- Сообщения: 64
- Зарегистрирован: 02 июл 2013, 21:16
- Хирург: Н.Н. Онипко
- Диагноз: О-образная деформация ног
- Какую операцию Вы планируете сделать.: исправить ножки
- Дата операции.: 02.07.2013
- Откуда: Алматы
Re: Дневник от Sergunya
Привет, Сергуня. Вот и ты дождался свой день.
Очень-очень рада за тебя. Счастливого пути и всего наилучшего. 

- Sekretar Onipko
- Сообщения: 4551
- Зарегистрирован: 16 авг 2011, 22:12
Re: Дневник от Sergunya
Здравствуйте, Серёжа! Спасибо за такие тёплые слова. Вы нас растрогали до слёз!Спасибо! А на форуме был тех. Сбой. Ваши слова благодарности мы читали, было очень приятно. Мы рады,что у Вас всё хорошо! Держите нас по возможности в курсе. Спасибо за не равнодушие на форуме.Добрый вечер Николай Николаевич и Наталья ! Поздравляю Вас со всеми новогодними и крещенскими праздниками! Желаю ВАМ здоровья добра и долгих лет жизни! Желаю чтобы ваши руки никогда не опускались в ваших светлых и добрых делах!
На счет снимков буду у родителей в конце февраля , пришлю рентген. так вообщем о своих ногах : все ровно)))не просели. сейчас уже не беспокоют.
Я нафоруме осталял отзывы благодарности после выписки но почемуто их нет, жаль конешно(( они были искренние от души с эмоциями радости)
Сейчас скажу Николай Николаевич вам и от вашего лица всему мед персоналу Дай бог Вам здоровья за то что вы дарите людям счастья! Лично для меня так это воше переворот в жизни) я Благодарен ВАМ!!!!
Большой привет Константину Николаевичу, Светлане Васильевне,Анне Викторовне, Ларисе Николаевне, мед. сестрам Ольге, Оксане Веронике. девочкам со столовой (спасибо им за вкусное и разнообразное питание) . санитарке Марине, Лилии.
ВЫ В МОЕМ СЕРДЦЕ НАВСЕГДА!!!

Re: Дневник от Sergunya
ВСЕМ ДОБРА, СЧАСТЬЯ И РОВНЫХ НОЖЕК!!!!!!!!!!!!!!!!!!! Я СЧАСТЛИВ !!!!!!!!! 