Откровения Люси
- Sekretar Onipko
- Сообщения: 4551
- Зарегистрирован: 16 авг 2011, 22:12
Re: Откровения Люси
Привет всем,сегодня 74 день после ОП.Чувствую себя хорошо,хожу без костылей,встаю со стула без поддержки.Сегодня ходила гулять,домой пришла в ногах чувствуется тяжесть,боли почти нет,ноют от долгой ходьбы,но терпимо.Сегодня мне написали,что можно приезжать на снятие 15 ноября,жду не дождусь.Осталось совсем немного.

- Sekretar Onipko
- Сообщения: 4551
- Зарегистрирован: 16 авг 2011, 22:12
Re: Откровения Люси
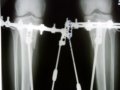
Дата операции 14.08.2012г.
Дата снятия аппаратов 15.11.2012г.
Срок лечения 90 дней.
В аппаратах в день снятия.
Дата снятия аппаратов 15.11.2012г.
Срок лечения 90 дней.
В аппаратах в день снятия.
- Sekretar Onipko
- Сообщения: 4551
- Зарегистрирован: 16 авг 2011, 22:12
- Sekretar Onipko
- Сообщения: 4551
- Зарегистрирован: 16 авг 2011, 22:12
Re: Откровения Люси
Дата операции 14.08.2012г.
Дата снятия аппаратов 15.11.2012г.
Срок лечения 90 дней.
Дата снятия аппаратов 15.11.2012г.
Срок лечения 90 дней.
- Mara
- Сообщения: 6
- Зарегистрирован: 15 май 2012, 11:59
- Хирург: Онипко Н.Н.
- Диагноз: О-образная деформация ног
- Дата операции.: 11.05.2012
- Откуда: Южн.Каз-я обл-ть.
Re: Откровения Люси
Привет Люси! Поздравляю с новыми ножками!!! Результат очень-очень хороши. Желаю счастье, успехов и благополучие семье. 
Re: Откровения Люси
Привет, Люси))))
Ты наверно уже в поезде)))
Как ты себя чувствуешь???Как прошло снятие аппарата???
Я очень за тебя рада, ножки хороши)))

Ты наверно уже в поезде)))
Я очень за тебя рада, ножки хороши)))
Re: Откровения Люси
- Dalida
- Сообщения: 179
- Зарегистрирован: 23 май 2012, 19:38
- Хирург: Онипко Н.Н.
- Диагноз: О- образная деформация нижних конечностей
- Дата операции.: 30.01.2013
- Дата снятия аппаратов.: 04.05.2013
- Срок лечения.: 92 дня
- Оценка результата операции.: Супер
- Откуда: Актобе
Re: Откровения Люси
привет,ножки хорошенькие! пусть все в жизни будет хорошо!Re: Откровения Люси
Привет всем! Огромное спасибо за поздравления! Отдельное спасибо Николаю Николаевичу и всему мед .персоналу!Приехала с утра в Павлодар на снятие,в 10 утра на снимок,(а сама заранее взяла билет на вечер домой),доктор посмотрел рентген и сказал-"Все отлично,можно снимать!" Укол обезболивающий не делала, так снимали ))))))Вообщем потерпеть можно было.Сняли аппараты очень быстро,сфоткали и всё!!!!!!!!!!!! Я свободна!!!!!!!А вечером уехала домой! Походка конечно еще не как у модели,но потихоньку расхаживаюсьПриехала домой ,набрала ванну и сбылась моя мечта!!!!!!!!! В ногах под коленями еще чувствуется стянутость,как будто мышцы напряжены.Ну а вообщем,я очень рада. Всем привет! Удачи!