Хайнань

В этом разделе каждый желающий может разместить свой рассказ об операции по исправлению "О-образной" кривизны ног. Здесь вы можете вести свой дневник, или разместить рассказ целиком. Приветствуется подробность изложения и размещение фото и видео материала.
Ответить
Аватара пользователя
Sekretar Onipko
Сообщения: 4551
Зарегистрирован: 16 авг 2011, 22:12

Хайнань

Сообщение Sekretar Onipko »

Исходник - 22 года. Усть -Каменогорск
Дата операции 08.11.2018г.
Ротация с обеих сторон.
Вложения
IMG-20181107-WA0011.jpg
IMG-20181107-WA0010.jpg
Аватара пользователя
Sekretar Onipko
Сообщения: 4551
Зарегистрирован: 16 авг 2011, 22:12

Re: Хайнань

Сообщение Sekretar Onipko »

в процессе исправления деформации ног.
Вложения
IMG-20181119-WA0007.jpg
Аватара пользователя
Sekretar Onipko
Сообщения: 4551
Зарегистрирован: 16 авг 2011, 22:12

Re: Хайнань

Сообщение Sekretar Onipko »

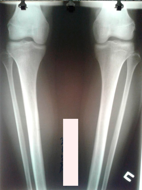
На сращении.
Вложения
IMG-20181207-WA0028.jpg
Ответить