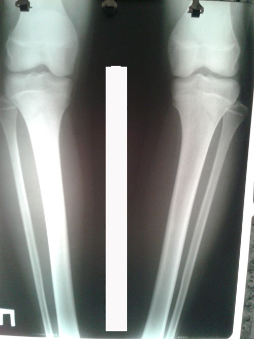
Исходник - 13 лет.
Дата операции 02.06.2016г.
У пациентки двухсторонняя ротация.
♥Солнечный день♥
- Sekretar Onipko
- Сообщения: 4551
- Зарегистрирован: 16 авг 2011, 22:12
- Sekretar Onipko
- Сообщения: 4551
- Зарегистрирован: 16 авг 2011, 22:12
- Sekretar Onipko
- Сообщения: 4551
- Зарегистрирован: 16 авг 2011, 22:12
- Sekretar Onipko
- Сообщения: 4551
- Зарегистрирован: 16 авг 2011, 22:12
- Sekretar Onipko
- Сообщения: 4551
- Зарегистрирован: 16 авг 2011, 22:12
- Sekretar Onipko
- Сообщения: 4551
- Зарегистрирован: 16 авг 2011, 22:12
Re: ♥Солнечный день♥
Дата операции 02.06.2016г.
Дата снятия аппаратов 27.07.2016г.
Срок лечения 55 дней.

Дата снятия аппаратов 27.07.2016г.
Срок лечения 55 дней.
