Рига

В этом разделе каждый желающий может разместить свой рассказ об операции по исправлению "О-образной" кривизны ног. Здесь вы можете вести свой дневник, или разместить рассказ целиком. Приветствуется подробность изложения и размещение фото и видео материала.
Ответить
Аватара пользователя
Sekretar Onipko
Сообщения: 4551
Зарегистрирован: 16 авг 2011, 22:12

Рига

Сообщение Sekretar Onipko »

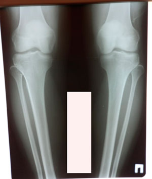
Исходник - 37 лет.
Дата операции - 05.02.2021
Вложения
image-05-02-21-07-29-4.jpg
image-05-02-21-07-29-1.jpg
Аватара пользователя
Sekretar Onipko
Сообщения: 4551
Зарегистрирован: 16 авг 2011, 22:12

Re: Рига

Сообщение Sekretar Onipko »

перед крутками
Вложения
image-13-02-21-11-04-1.jpg
Аватара пользователя
Sekretar Onipko
Сообщения: 4551
Зарегистрирован: 16 авг 2011, 22:12

Re: Рига

Сообщение Sekretar Onipko »

на фиксации
Вложения
image-02-03-21-05-20-4.jpg
Ответить