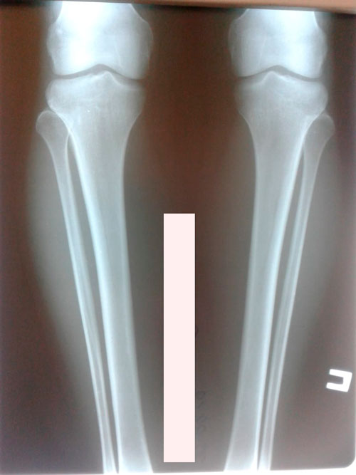
Исходник - 35 лет.
Дата операции - 29.04.2019г.
Танзания
- Sekretar Onipko
- Сообщения: 4551
- Зарегистрирован: 16 авг 2011, 22:12
- Sekretar Onipko
- Сообщения: 4551
- Зарегистрирован: 16 авг 2011, 22:12
- Sekretar Onipko
- Сообщения: 4551
- Зарегистрирован: 16 авг 2011, 22:12
- Sekretar Onipko
- Сообщения: 4551
- Зарегистрирован: 16 авг 2011, 22:12
Re: Танзания
Дата операции - 29.04.2019г.
Дата снятия аппаратов- 26.07.2019г.
Срок сращения -87 дней.

Дата снятия аппаратов- 26.07.2019г.
Срок сращения -87 дней.

- Sekretar Onipko
- Сообщения: 4551
- Зарегистрирован: 16 авг 2011, 22:12